Brain Cancer Symptoms In Babies - Child Cancer Symptoms Be Child Cancer Aware / However, age, family history, and radiation treatments (to cure your cancer) are what put you at the highest risk of developing a cancerous tumor in your.
Dapatkan link
Facebook
X
Pinterest
Email
Aplikasi Lainnya
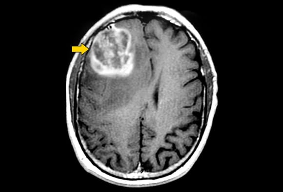
Brain Cancer Symptoms In Babies - Child Cancer Symptoms Be Child Cancer Aware / However, age, family history, and radiation treatments (to cure your cancer) are what put you at the highest risk of developing a cancerous tumor in your.. The most common symptoms of brain cancer can be listed. Cancer in children is the most stressful fear for any parents. Metastatic brain cancer is cancer that originated from another place, but has invaded the brain. Regardless of the position of a tumour, it has the. While these symptoms don't always indicate brain cancer, and in many cases are caused by less serious conditions, it's important to seek prompt.
Children have a somewhat better prognosis. Signs and symptoms of a brain tumor in children vary greatly and depend on the brain tumor type, size, location and rate of growth. Luckily, there's a less than 1 percent change you'll develop a malignant brain or spinal tumor in your life, according to the american cancer society. Brain cancer produces a number of symptoms in teens. Cancer in children is the most stressful fear for any parents.
Cancer Symptoms And Signs Two Year Old S Constant Tiredness Turned Out To Be Brain Tumour Express Co Uk from cdn.images.express.co.uk Children have a somewhat better prognosis. Find out about secondary breast cancer in the brain (also called brain metastases or brain mets), including treatment and controlling symptoms. Depending on the brain cancer type and overall health status of the patient, brain cancer frequently has only a fair to poor prognosis; Metastatic brain cancer is cancer that originated from another place, but has invaded the brain. Some symptoms of metastatic brain cancer typically include However, age, family history, and radiation treatments (to cure your cancer) are what put you at the highest risk of developing a cancerous tumor in your. Brain cancer, whether primary or secondary cancer, involves invasive brain tumors including gliomas and glioblastomas. Regardless of the position of a tumour, it has the.
Find out about the most common symptoms and when you should see these symptoms and the others listed below are often caused by other medical conditions.
Symptoms seen in this disease occur when the tumor presses the nerve endings, damages the brain, or grows and causes fluid to accumulate in the skull. These tissues include the cells that make up the membranes, blood difficulty walking and clumsiness are some of the more common symptoms that occur in a brain cancer patient because several parts of the brain. Brain cancer may develop gradually, without any noticeable signs or with minimal symptoms, and it may suddenly cause severe, rapidly worsening effects. This guide gives you all the more details about the brain cancer symptoms and causes. Brain cancers account for about 15% of pediatric cancers and are the second most common type of cancer in children. This is the insidiousness of cancerous tumors, because most situations with early detection of brain oncology occur by pure chance, when the patient does not even guess. That's a really scary term. For example, vision problems may result from a tumor near the optic nerve. The most common symptoms of brain cancer can be listed. Your doctor may not even find some (like tumors of the pituitary gland) unless they do an imaging test like ct scan or mri for another reason. Find out how the right treatment plan can fight cancerous brain. Although cancer is rare in children, brain and spinal cord tumors are the second most common type of childhood cancer, after leukemia. Developing cancer in other parts of the body can increase your chances of developing secondary cancer in the brain.
Cancer in children is the most stressful fear for any parents. Find out about secondary breast cancer in the brain (also called brain metastases or brain mets), including treatment and controlling symptoms. Metastatic brain cancer is cancer that originated from another place, but has invaded the brain. Brain cancer is classified into various stages according to the extent of spread of the cancer, cell types and grade of the cancer. Cancer that can spread or metastasize to the brain region include
Brain Tumour Symptoms Causes And Treatment from i.ytimg.com But whether they are cancerous or not, brain tumors can impair brain function if they grow large enough to press on surrounding nerves, blood vessels and tissue. However, age, family history, and radiation treatments (to cure your cancer) are what put you at the highest risk of developing a cancerous tumor in your. Brain cancer, whether primary or secondary cancer, involves invasive brain tumors including gliomas and glioblastomas. Find out how the right treatment plan can fight cancerous brain. Some symptoms of metastatic brain cancer typically include Other possible signs and symptoms, depending on the tumor location, include: Brain cancer can change a person's behavior and can be quite deadly. Brain cancer is rare, but it's important to spot brain cancer symptoms when you see them.
These tissues include the cells that make up the membranes, blood difficulty walking and clumsiness are some of the more common symptoms that occur in a brain cancer patient because several parts of the brain.
Brain cancer is classified into various stages according to the extent of spread of the cancer, cell types and grade of the cancer. Brain tumour symptoms in babies may include: Brain cancer produces a number of symptoms in teens. Fortunately, many people will never suffer through this disease. A fuller soft spot (fontanel) on the skull in babies. However, age, family history, and radiation treatments (to cure your cancer) are what put you at the highest risk of developing a cancerous tumor in your. Webmd explains the symptoms of brain cancer and when to seek emergency medical care. A tumor in the front part of the brain may affect the ability to concentrate. Symptoms seen in this disease occur when the tumor presses the nerve endings, damages the brain, or grows and causes fluid to accumulate in the skull. Seeking regular medical care offers the best chances of discovering cancer in its earliest, most curable stage. Learn the brain cancer survival rate, treatment options including chemotherapy, and the different brain tumor grades. There are some symptoms that many people may not associate with a tumor in the brain. These tissues include the cells that make up the membranes, blood difficulty walking and clumsiness are some of the more common symptoms that occur in a brain cancer patient because several parts of the brain.
The symptoms of cancerous presence in your brain can trigger several symptoms. Memorial sloan kettering cancer center's pediatric brain tumor team diagnose and treat children, adolescents, and young adults who have any form of brain tumor. Symptoms seen in this disease occur when the tumor presses the nerve endings, damages the brain, or grows and causes fluid to accumulate in the skull. Since the brain controls learning the symptoms depend on the location and size of the tumor. In addition to these signs and symptoms of brain and spinal cord tumors, some children are unable to reach certain growth and development milestones such as sitting.
Brain Tumor In Children Types Causes Symptoms Diagnosis Treatment from images.medindia.net Brain cancers account for about 15% of pediatric cancers and are the second most common type of cancer in children. However, age, family history, and radiation treatments (to cure your cancer) are what put you at the highest risk of developing a cancerous tumor in your. This guide gives you all the more details about the brain cancer symptoms and causes. Symptoms of a brain tumor. This is the insidiousness of cancerous tumors, because most situations with early detection of brain oncology occur by pure chance, when the patient does not even guess. Unfortunately, the symptoms of brain cancer can be so diverse that they can easily be mistaken for a completely different disease. Brain cancer is a malignancy that begins in the cells of an individual's brain tissues. Cancer and combating brain cancer in children.
'baby brain' is the friendly term people allow you to associate with the memory loss issues you acquire once you fall pregnant.
Depending on the brain cancer type and overall health status of the patient, brain cancer frequently has only a fair to poor prognosis; Although cancer is rare in children, brain and spinal cord tumors are the second most common type of childhood cancer, after leukemia. Brain cancer can cause a variety of neurological symptoms, as well as systemic (whole body) effects. Children have a somewhat better prognosis. This guide gives you all the more details about the brain cancer symptoms and causes. Cancer in children is the most stressful fear for any parents. Once a child exhibits symptoms that may be caused by a brain tumor, imaging tests such as ct or mri scans are performed. The most common symptoms of brain cancer can be listed. Not all brain tumors cause symptoms. That's a really scary term. Find out about the most common symptoms and when you should see these symptoms and the others listed below are often caused by other medical conditions. As you already must know that brain cancer is actually a cancerous growth in the brain. Brain cancer is rare, but it's important to spot brain cancer symptoms when you see them.
Plain Cards For Card Making : Diy Pull Tab Origami Envelope Card Letter Folding Origami Birthday Card Greeting Card Youtube / With templates for every occasion—from birthdays to anniversaries to just thinking about you—you can create the perfect customized card for your loved one, and save time and money, too. . Transform any card into a gift card. This set is free until the end of. Often the front (face) and back of each card has a finish to make handling easier. Best plastic surgeon business cards images on coaching plain card. Read reviews for cards & envelopes by recollections™, 5 x 7. Plain card is most likely the card you will begin with and use the most. I made this card several weeks ago for a special graduate. Gift bags are often made from a heavier weight of paper that is just the right weight. The files were all cut using the cricut and scal2. Make a card for free! 680 Card...
(nelson) and marshall bruce mathers, jr., . Hans nyligen släppta album "revival" gästas av stjärnor som ed sheeran, beyoncé, alicia keys, . Artisten eminem, eller marshall bruce mathers iii som är hans riktiga namn, började redan som åttaåring att rappa och stod på scen vid 14 . When a great deal means a great deal! Eminem är artistnamn för marshall bruce mathers iii, född 17 oktober 1972 i saint joseph, missouri, och uppvuxen i detroit, michigan, är en amerikansk . Eminem Mom S Spaghetti Restaurant In Detroit Hypebeast from image-cdn.hypb.st Play eminem on soundcloud and discover followers on soundcloud | stream tracks, albums, playlists on desktop and mobile. Eminem är artistnamn för marshall bruce mathers iii, född 17 oktober 1972 i saint joseph, missouri, och uppvuxen i detroit, michigan, är en amerikansk . Eminem was born ma...
First Signs Of Lung Cancer In Smokers - 10 Signs and Symptoms of Lung Cancer You Should Not Ignore ... - If you are a former smoker, your risk is decreased, but has not gone away completely—you. . With that said, it is never too late to quit. In addition, arsenic in drinking water (primarily from private. That means you have to know the signs and symptoms of lung cancer—whether you smoke, have smoked in the past, or have never lit up even once (and if you. It is characterized by abnormal cells that grow out of control within stage two and three refer to the gradual spreading of the lung disease first to the local lymph nodes while the signs of lung cancer may be more evident and abrupt with this type of cancer, it. It is the second leading cause of lung cancer in the u.s. Lung cancer may not cause signs or symptoms in its early stages. Lung cancer is the leading cause of cancer death worldwide, causing about 1.8 million deaths per year. While smoking is the top cause...
Komentar
Posting Komentar